Anthrax
Presentation :
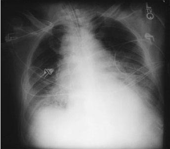
- Patients with inhalational anthrax infection present with malaise, myalgia, fever, cough, dyspnea, and substernal chest discomfort; radiographic imaging reveals a widened mediastinum resulting from hemorrhagic mediastinal lymphadenopathy.


- Meningitis occurs in up to 50% of persons.
- Cutaneous anthrax: classic black eschar lesion, caused by skin contact with spores

Pathophysiology :
- Infection caused by Bacillus anthracis spores
- Person-to-person transmission does not occur.
Diagnostic Testing:
- Diagnosis is made by culture or polymerase chain reaction (PCR) of blood, tissues, or fluid samples
Treatment :
- All patients with systemic anthrax should be hospitalized.
- Systemic anthrax is defined as cutaneous anthrax with systemic involvement; gastrointestinal, injection, or inhalation anthrax; anthrax meningitis; or bacteremia.
- Because inhalation anthrax can have a prodromal phase followed by a fulminant phase characterized by sudden decompensation, hospitalized patients should have careful hemodynamic monitoring, including continuous pulse oximetry and telemetry.
Prognosis:
- Post-exposure prophylaxis:
- Preferred: Doxycycline 100mg q12h or Ciprofloxacin 500mg q12h
- Alternatives: Levofloxacin 750 mg q24h, Moxifloxacin 400mg q24h, Clindamycin 600mg q8h
- *Systemic Anthrax Treatment:
- Ciprofloxacin is first line but can also use levofloxacin, moxifloxacin, carbapenems.
- PLUS a protein synthesis inhibitor like Clindamycin or Linezolid (preferred for possible/confirmed meningitis)
- IF possible/confirmed meningitis ADD carbapenem for second bactericidal agent
- PLUS antitoxins Raxibacumab and Obiltoxaximab
- inhibit binding of protective antigen and translocation of the two primary toxins, lethal toxin (LT) and edema toxin, into cells
- Supplies of raxibacumab and obiltoxaximab are held in the United States Strategic National Stockpile for use by the CDC in the event of an anthrax emergency
References:
- MKSAP
- https://www.uptodate.com/contents/treatment-of-anthrax
- Centers for Disease Control and Prevention Expert Panel Meetings on Prevention and Treatment of Anthrax in Adults
Created at: periodic/daily/August/2023-08-02-Wednesday